Ako funguje Denticor

Nie lepidlo. Nie cement. Mechanické zakliesnenie.

Ako Denticor funguje — inteligentný mostík, ktorý vyplní medzeru po chýbajúcom zube. Štyri kroky: medzera, DentiFlex, nasadenie, výsledok. Pevne drží, prirodzený vzhľad, stuhne do 30 až 45 minút, odolný voči jedlu, rozprávaniu aj pitiu.
Mechanické uchytenie zubnej náhrady — DentiFlex mostík sa po pritlačení k susedným zubom zaklieska do bočných nerovností

Každý zub má na bokoch unikátny povrch — zárezy, výstupky, prirodzené nerovnosti. Vami vybraná zubná korunka sedí na DentiFlex mostíku. Po vložení do medzery a pritlačení k susedným zubom mäkký materiál zatečie do každej z týchto nerovností. Po stuhnutí mostík mechanicky obopne susedné zuby a drží na mieste — bez lepidla, bez cementu, len cez tvar.

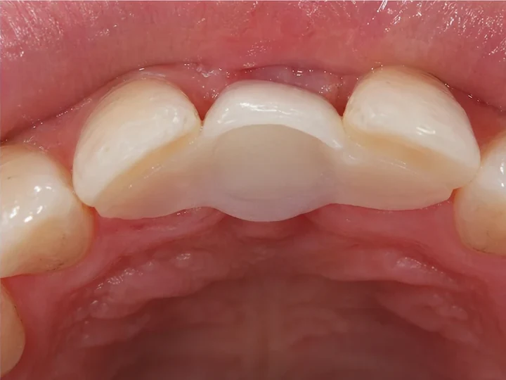
Spredu aj zozadu

Zámok je zozadu — zvonku vidno len nový zub

Mechanika tvarového zámku sa odohráva na zadnej strane. Zo strany jazyka DentiFlex obopne susedné zuby a vytvorí oporu, ktorá drží novú korunku na mieste. Spredu sa po pritlačení prebytok DentiFlexu vytlačí do tenkej vrstvy — výsledok pôsobí prirodzene.

Pohľad zozadu (od jazyka) — chýbajúci zub, susedné zuby s prirodzenou anatómiou na vnútornej strane DentiFlex mostík s korunkou držaný v prstoch zo zadnej strany — vidno bočné výbežky, ktoré obopnú susedné zuby Vkladanie z vnútornej strany — DentiFlex sa pritláča okolo susedných zubov a vytvára zámok zozadu Výsledný zámok zozadu — DentiFlex obopína vnútornú stranu susedných zubov a drží korunku mechanicky

Funguje pre rôzne situácie

Predný zub, stolička — alebo viac chýbajúcich naraz

Postup je rovnaký, ale detail riešenia sa líši podľa toho, ktorý zub chýba a koľko ich chýba. Tu sú najčastejšie scenáre.

Ako funguje Denticor pri chýbajúcom hornom prednom zube — medzera, korunka v DentiFlex mostíku, nasadenie, výsledok
Chýbajúci horný predný zub
Ako funguje Denticor pri chýbajúcej hornej stoličke so susednými zubami — postup v štyroch krokoch
Chýbajúca horná stolička so susednými zubami
Postup Denticor pri chýbajúcich dvoch zuboch — výber dvoch koruniek, vytvorenie spoločného mostíka, vloženie a kontrola
Dva chýbajúce zuby vedľa seba

Pre každú situáciu — ktorý zub chýba, koľko ich chýba a v ktorej čeľusti — máme samostatný návod krok za krokom.

Pozri si všetky návody v poradni →
1

DentiFlex zmäkne v horúcej vode

Granulky vhodíte do horúcej vody (~80–85 °C). Za 2–3 minúty zmäknú na priehľadnú hmotu. Vyberiete ich lyžičkou a spojíte do guľôčky na dlani. Materiál je teplý, ale nepáli.

2

Obkolesí susedné zuby

Vložíte do medzery. DentiFlex sa pritlačí okolo susedných zubov a vytvorí presné zárezy podľa ich tvaru. Nie je to chémia — je to fyzika. Jeden presný negatívny odtlačok.

3

Stvrdne a drží mechanicky

Po 60 až 120 sekundách vychladnutia materiál stvrdne. Má presný tvar pre vaše konkrétne susedné zuby. Drží mechanicky — ako kľúč, ktorý pasuje len do jedného zámku.

Žiadne lepidlo. Žiadny cement. Žiadne vŕtanie. Zub môžete podľa potreby vybrať a opäť nasadiť. Ak prvý pokus nevyjde, materiál sa dá znovu zahriať a pretvarovať.

Fyzika za princípom Denticor

Denticor je dimenzovaný na maximálne zaťaženie. Pri bežnom dennom nosení — úsmev, rozprávanie, mäkšia strava — pracuje hlboko v bezpečnej zóne.

F = μ × N

Retentná sila = koeficient trenia × prítlačná sila

μ (DentiFlex – sklovina) = 0,3 – 0,5

σ = F / A

Napätie = sila / kontaktná plocha

Bezpečnostný faktor ≥ 2,0 (zadné)

M = F × d

Ohybový moment = sila × vzdialenosť od oporného bodu

Väčšia medzera = väčší moment = pevnejšia konštrukcia

Sily v ústach

Denticor je navrhnutý na maximálne hodnoty. V bežnom živote stačia oveľa nižšie.

Max. sila zhryzuBežné nosenie
Predné zuby 100 – 175 N 5 – 20 N
Zadné zuby 350 – 600 N 30 – 80 N

Hlavný retenčný mechanizmus nie je trenie, ale tvarový zámok — mostík tečie do mikroreliéfu susedných zubov a po stvrdnutí má geometriu, ktorá pasuje iba na ne. Zadné zuby držia silnejšie: majú väčšiu kontaktnú plochu a sila pôsobí takmer kolmo.

Dva druhy DentiFlexu

DentiFlex

Pre zadné a bočné zuby

CAPA 6500 — PCL homopolymér

Modul pružnosti: ~400 MPa

Tuhnutie: 60 – 90 s

Tuhší, rýchlejšie kryštalizuje. Konštrukčný materiál mostíka pri zadných zuboch, kde sú vyššie oklúzne sily.

DentiFlex PLUS

Pre predné zuby

CAPA 8502A — PCL ko-polyester diol

Modul pružnosti: nižší

Tuhnutie: 90 – 120 s

Mäkší, pomalšia kryštalizácia — viac času na tvarovanie. Pre predné zuby, kde záleží na precíznosti a presnom dosadnutí korunky.

Nič, čo urobíte, sa nedá pokaziť

DentiFlex je termoplast, ktorý mení svoj stav čisto fyzikálne. Pri teplote nad 60 °C zmäkne. Pri ochladení stuhne. Presne tá istá molekulárna štruktúra pred aj po. Žiadna chemická reakcia neprebieha.

Ak prvý pokus nevyjde — a pri prvom pokuse to takmer nikdy nevyjde dokonale — vhodíte materiál späť do horúcej vody. Za dve minúty je znova mäkký. Začnete odznova.

Bez odpadu. Bez straty. Bez stresu.

PMMA monomer + iniciátor → polymér Jednorazové
Ribbond kompozit + svetlo → cross-linked sieť Jednorazové
PCL kryštalická ⇌ amorfná fáza Opakovateľné

Pokazíte korunku, ktorá sedí nakrivo? Zohrejte a narovnajte. Vytvaroval sa mostík trochu hrubo? Zohrejte a pretlačte. Materiál vám odpúšťa každý pokus.

V praxi to vyzerá takto

Chýbajúci zub — medzera pred nasadením Denticoru

Krok 1

Chýbajúci zub — viditeľná medzera

Nasadzovanie nového zubu Denticor do medzery

Krok 2

Nasadenie nového zubu

Hotový výsledok — nový zub na mieste

Krok 3

Hotovo — medzera vyplnená

Princíp mechanického zakliesnenia a technológiu DentiFlex vyvinula slovenská spoločnosť Sciéntio Laboratories. Denticor je na trhu od roku 2018.

O DentiFlexe

DentiFlex aj DentiFlex PLUS sú na báze polycaprolactonu (PCL) — materiálu CAPA od spoločnosti Ingevity (NYSE: NGVT). Ingevity je globálny líder v PCL technológii s viac ako 40-ročnou históriou.

DentiFlex

CAPA 6500

Polycaprolactone uvádzaný distribútormi ako materiál pre dentálne a ortopedické aplikácie. Tuhší, rýchlejšie kryštalizuje. Konštrukčný materiál mostíka pre zadné a bočné zuby.

DentiFlex PLUS

CAPA 8502A

Lineárny ko-polyester s nižším modulom pružnosti. Pomalšia kryštalizácia — viac času na tvarovanie. Pre predné zuby, kde záleží na jemnej a presnej aplikácii.

Materiál dodávaný priamo od výrobcu Ingevity. Certifikácie materiálu: TÜV Austria, BPI (Biodegradable Products Institute).

SCIÉNTIO LABORATORIES

Fyzika a veda za dočasnými

náhradami Denticor

Biomechanika PCL materiál 10 strán

Technologický prehľad

PDF · 10 strán · Sciéntio Labs

Otvoriť

História domáceho nahradzovania zubov

Chýbajúce zuby ľudia riešili tisíce rokov. Väčšinou zúfalo.

George Washington mal pri prezidentskej prísahe už len jediný vlastný zub. Alžbeta I. si medzery maskovala kusmi látky. A po Waterloo sa zuby padlých predávali ďalej ako tovar.

História náhrad zubov nie je história komfortu. Je to história provizórií, drôtov, cudzích materiálov a kompromisov.

I

2 650 p.n.l. – 500 n.l.

Zlato, kosť, jadeit — a prvý zubár na svete

Hesy-Ra (2650 p.n.l.) — prvý doložený zubár v histórii. Egypťania — mostíky z kosti spojené zlatým drôtom. Etruskovia — zlaté pásky s ľudskými alebo zvieracími zubmi. Mayovia — jadeitové inlaye vŕtané priamo do živých zubov. Féničania — vyrezávaný slon a zlatý drôt.

Čítať viac

Prvým doloženým zubárom v dejinách bol Hesy-Ra, vysoký úradník na dvore faraóna Džosera okolo roku 2650 pred n. l. Jeho hrobka v Sakkáre obsahuje šesť cedrových panelov — jedny z najkrajších drevených reliéfov, aké sa zachovali zo staroveku — a na nich vytesaný titul Wer-ibeh-senjw, čo sa prekladá ako „Veľký medzi zubármi" alebo alternatívne „Veľký medzi rezačmi slonoviny". Okrem zubárstva bol Hesy-Ra kňazom, hlavným pisárom a správcom daní. Historici dodnes debatujú, či sa zubárstvo učil v Dome Života (inštitúcia, kde sa písali medicínske texty), alebo bol samoukom.

Najstaršie doložené pokusy o náhradu zubu — takzvaný el-Quatta bridge — pochádzajú z okolia Káhiry, datované okolo roku 2500 pred n. l. Dva zuby spojené dvojitým zlatým drôtom, objavené egyptológom Hermannom Junkerom v roku 1914. Archeológovia debatujú, či slúžili nositeľovi počas života, alebo boli pridané pri pochovávaní — v každom prípade ukazujú, že už pred 4 500 rokmi bol chýbajúci zub dôvodom na zásah. Neskorší Ebersov papyrus (okolo 1550 pred n. l.) — najdlhší zo staroegyptských medicínskych textov, 20 metrov a 110 strán — obsahuje recepty na bolesť zubov: zmesi medu, jačmeňa, bylín a minerálov na ústne výplachy a výplne.

Féničania (okolo 1500 pred n. l.) používali zlatý drôt na fixáciu zubov už pred Etruskami. Etruskovia (severné Taliansko, okolo 700 pred n. l.) posunuli remeslo ďalej. Ich zlatotepci vytepávali zlaté pásky, ktoré slúžili ako strojček, a do nich pripevňovali ľudské alebo zvieracie zuby. Protézy sa našli najmä v hroboch zámožných žien — dôkaz, že už v antike bol dôstojný úsmev pri banketových rautoch spoločenskou otázkou. Rimania tento postup prevzali a rozšírili. Rímsky lekár Aulus Cornelius Celsus (25 pred n. l. – 50 n. l.) v diele De Medicina napísal: „Ak sa niektoré zuby po údere alebo z iných príčin kývajú, treba ich zviazať zlatým drôtom k stabilným zubom." V roku 2000 archeológovia v Ríme odkryli kremované pozostatky ženy z 1.–2. storočia n. l. so zlatou protézou — prvý archeologický dôkaz rímskej protetiky mimo etruských hrobov.

Mayovia (Guatemala, Mexiko, Honduras, 250 – 1550 n. l.) išli v odvahe najďalej. Vŕtali drobné otvory priamo do živých zubov kamennými nástrojmi a vkladali do nich inlaye z jadeitu, tyrkysu, obsidiánu, pyritu alebo hematitu. Fixačný cement bol organickej povahy a obsahoval hydroxyapatit (rovnakú zložku akú má ľudská sklovina). Mayovia dokonca farbili cement tak, aby zodpovedal farbe inlayu — zelený (yax) pre jadeit, čierny (ek) pre pyrit. Viac ako polovica mayských cementy bola červenkastá — farba, ktorá v samotných kameňoch nie je, čo znamená, že ju Mayovia pridávali zámerne.

V roku 1931 manželia Wilson a Dorothy Popenoe objavili v Hondurase čeľusť mayskej ženy zo 7.–8. storočia, do ktorej boli vsadené tri mušľové implantáty namiesto dolných rezákov. Röntgenové snímky ukázali výrazný nárast kosti okolo dvoch implantátov — prvý známy prípad osseointegrácie, teda vrástania implantátu do kosti. Tá istá žena mala funkčné zubné implantáty 1 200 rokov pred tým, než Per-Ingvar Brånemark tento princíp „objavil" v roku 1965.

Nedávna štúdia (2025) publikovaná v Journal of Archaeological Science: Reports priniesla ďalšie prekvapenie: jadeitové inlaye sa našli aj v zuboch mayských detí — doteraz sa predpokladalo, že táto úprava bola výlučne pre dospelých. Tri zuby s nedokončeným rastom koreňov ukazujú, že inlaye boli aplikované za života dieťaťa, nie posmrtne.

Zaujímavosť: u Mayov sa takéto dentálne úpravy vyskytovali u všetkých spoločenských vrstiev a oboch pohlaví — až jeden z troch mužov z elity mal inlay. Nebola to výsada elity ako v Ríme — bola to kultúrna norma, ktorá sa šírila naprieč celou Strednou Amerikou.

Pozoruhodnosť Viac ako polovica mayských zubov s inlayom má ho po tisíc rokoch stále neporušený — ich organický cement sa dodnes úplne nepodarilo rozšifrovať. Vedci vedia, že obsahoval hydroxyapatit a rastlinné živice, ale presnú receptúru nepoznajú.
II

500 – 1500 n.l.

Barbieri, kováči a kliešte

Po zákaze chirurgie pre mníchov (1163) prevzali úlohu zubára barbieri-chirurgovia s rozpálenými kliešťami a bez anestézie. Ak barbier nebol, šlo sa ku kováčovi. Kráľovná Alžbeta I. si medzery vypĺňala kusmi látky.

Čítať viac

Po páde Rímskej ríše sa remeslo náhrady zubov z Európy na dlhé storočia prakticky vytratilo. Vedomosti antických zlatníkov sa nezachovali. Do 12. storočia sa starostlivosti o zuby venovali kláštorní mnísi — ale pápežský zákaz v roku 1163 im vykonávanie chirurgických úkonov zakázal. Odvtedy prevzali túto úlohu ľudia, ktorí mali ostré nástroje a pevné ruky: barbieri-chirurgovia. Ale aj zlatníci, klenotníci a kováči — ktokoľvek, kto mal kliešte a istú ruku.

Barbier ohrieval kliešte, vytrhával zuby bez akejkoľvek anestézie (ak pacient mal šťastie, opil sa alkoholom), ošetroval krvácajúce rany obkladmi z pálenej žihľavy alebo rozžeraveným železom. Ak barbier nebol v okolí, pacienti sa obracali na potulného liečiteľa, kupca na jarmoku — alebo priamo na kováča s bežnými kováčskymi kliešťami. Dobové ilustrácie ukazujú kováčov, ako trhajú zuby na trhu pri hudobnom sprievode — hudba slúžila aj ako distrakcia pre diváka, aj ako prekrytie kriku pacienta.

V 14. storočí zostrojil francúzsky chirurg Guy de Chauliac nástroj nazvaný „pelikán" (tvarovo pripomínal vtáčí zobák). Používal sa na extrakcie zubov až do 18. storočia a spôsobil nespočetne mnoho zlomených čeľustí, lebo často vytiahol spolu so zubom aj okolitú kosť. Pelikán bol v skutočnosti taký brutálny, že čeľustné zlomeniny boli považované za bežný „vedľajší efekt" ošetrenia.

Náhrady v tomto období prakticky neexistovali. Kráľovná Alžbeta I. (vládla 1558 – 1603) mala vážne problémy so zubami a pri verejných vystúpeniach si vypĺňala medzery kusmi bielej látky, aby nebolo vidieť, že jej chýbajú zuby. Kráľovná Anglicka, cisárovná mnohých území — a napriek tomu jej jediným dostupným riešením bola handra.

Najstaršia známa európska kompletná zubná protéza pochádza z hrobu pri Kolíne nad Rýnom z roku 1500, je vyrobená z kosti a fixovaná dvomi pružinami. Pre bežného Európana bola úplne nedostupná. Prvá moderná kvalifikácia v zubnom lekárstve — Licence in Dental Surgery (LDS) — vznikla v Británii až v roku 1860. To znamená, že po celé stáročia vaše zuby liečili ľudia bez akéhokoľvek formálneho vzdelania.

Japonsko, 1538 Prvé kompletné zubné protézy z dreva, vyrezané podľa otlačku z včelieho vosku. Držali vákuom — rovnaký princíp ako moderné akrylátové. Japonskí protézisti boli tak zruční, že niektoré drevené protézy slúžili svojmu majiteľovi desaťročia.

1558 – 1603

Čierne zuby ako symbol bohatstva

V alžbetínskej Anglii bol cukor taký drahý, že čierne zuby — rozožraté cukrom — sa stali symbolom bohatstva. Kto mal biele zuby, bol chudobný. Chudobní si preto zámerne čiernili zuby sadzami, aby vyzerali bohatšie.

Čítať viac

Cukor sa do Anglicka dostal s koloniálnym obchodom v 16. storočí, ale jeho cena ho robila dostupným len pre elitu — stál takmer toľko čo korenie alebo perly. Aristokracia ho konzumovala v obrovských množstvách. Gróf z Northumberlandu objednal za jediný rok viac ako 900 kilogramov cukru. Kráľ Henrich VIII. mal vlastného osobného cukrára.

Alžbeta I. bola známa svojou závislosťou na sladkom. Čistila si zuby pastou z cukru a medu nanesenou handrou — čo ich ničilo ešte rýchlejšie. Keď ju v roku 1599 navštívil nemecký cestovateľ Paul Hentzner, opísal ju slovami: úzke pery, čierne zuby — chyba, ktorou Angličania trpia pre nadmerné používanie cukru.

Keď v decembri 1578 už kráľovná nedokázala spať od bolesti zubov, lekári jej odporučili vytrhnutie. Odmietla — bála sa bolesti. Aby ju presvedčil, nechal si londýnsky biskup John Aylmer pred jej očami vytiahnuť vlastný zub — hoci ich už veľa nemal. Kráľovná nakoniec súhlasila.

Alžbeta zároveň zakázala zobrazovanie nelichotivých portrétov svojej osoby. Prikazovala, aby všetky nové portréty vychádzali z jednej idealizovanej šablóny. Na slávnom Rainbow Portrait z roku 1600 vyzerá ako mladá žena — v skutočnosti mala takmer 70 rokov a väčšinu zubov už stratila.

Paradox krásy Čierne zuby sa stali módnym trendom. Ľudia, ktorí si cukor nemohli dovoliť, si zuby čiernili sadzami, aby vyzerali bohatšie. Po smrti Alžbety I. v roku 1603 tento trend postupne zanikol.
III

1500 – 1800

Slonovina, cukor a zuby otrokov

Cukrová epidémia v 18. storočí zničila zuby celej Európy. Najbežnejšie materiály protéz: slonovina a hrošie kly. Do nich sa vsádzali ľudské zuby — kupované od chudobných, vyťahované odsúdencom, alebo kúpené od otrokov. George Washington mal protézy z hrošieho kla s mosadznými klincami — a možno so zubami svojich otrokov.

Čítať viac

V 18. storočí nastala zásadná zmena: cukor. Atlantický obchod s otrokmi sprístupnil cukor masám v Európe a Severnej Amerike. Sladkosti sa stali módou — a s nimi prišiel masový zubný kaz. Dopyt po protézach explodoval a s ním aj celé nové odvetvie: dentistika.

Francúzsky lekár Pierre Fauchard vydal v roku 1728 knihu Le Chirurgien Dentiste — prvý kompletný traktát o modernej stomatológii, vrátane postupov výroby protéz. Napriek pokroku však zostala pravda nezmenená: zubné náhrady boli luxus, ktorý si bežný človek nemohol dovoliť.

Najbežnejšími materiálmi boli slonovina a hrošie kly — z nich sa vyrezávala základná doska protézy, do ktorej boli pripevnené ľudské zuby. Cena kompletnej protézy bola v 80. rokoch 18. storočia viac než 100 libier — v dnešných peniazoch ekvivalent desiatok tisíc eur. Ľudské zuby boli vyhľadávanejšie ako porcelánové alebo slonovinové — boli pohodlnejšie, vyzerali prirodzenejšie a lepšie sa s nimi jedlo.

Bežným zdrojom boli chudobní ľudia, ktorí si nechávali vytrhávať zdravé zuby za pár šilingov. Inzerát v newyorskom novinách z roku 1783 ponúkal 2 guineas za každý zdravý predný zub. Dobové karikatúry zobrazujú chudobných mužov a deti sediace s otvorenými ústami pred zubárom, zatiaľ čo bohatá dáma čaká v nasledujúcej miestnosti na „nové" zuby.

George Washington — prvý prezident USA — trpel zubnými problémami celý dospelý život. Keď v roku 1789 skladal prvú prezidentskú prísahu, mal v ústach už len jediný vlastný zub: dolný ľavý prvý premolár. Jeho zubár Dr. John Greenwood z New Yorku mu vyrobil protézu z hrošieho kla, ľudských zubov a mosadzných klincov, s otvorom pre ten jediný zostávajúci zub. Záznamy z Mount Vernonu ukazujú, že Washington kupoval zuby od svojich otrokov — historici nevedia s istotou, či tieto zuby skončili v jeho vlastných protézach. Mýtus o „drevených zuboch" vznikol z toho, že slonovinové zuby po rokoch pitia portského vína a madeirského vína sčerneli a vyzerali ako drevo. Washingtonov zubár mu v liste z roku 1798 vyčítal: „Sada, ktorú ste mi poslali z Filadelfie, bola veľmi čierna… portské víno, keďže je kyslé, odnáša z nich všetok lesk."

Istý pokrok priniesol rok 1770, keď francúzsky lekárnik Alexis Duchâteau vyrobil prvé porcelánové protézy. Sám trpel na zapáchajúce protézy z hrošieho kla a chcel niečo lepšie. Porcelán však praskal, bol príliš biely, pôsobil neprirodzene. Zubár Nicolas Dubois De Chemant porcelán zlepšil a v roku 1791 získal prvý britský patent.

Washington a jeho jediný zub Keď skladal prvú prezidentskú prísahu (1789), mal v ústach len jeden vlastný zub. Dr. Greenwood vyrobil do protézy otvor presne naň. Nakoniec musel byť vytrhnutý aj ten. Greenwood ho uchoval v medailóne — dodnes sa nachádza v New York Academy of Medicine.
IV

1815 – 1860

„Waterloo teeth"

Po bitke pri Waterloo (18. jún 1815) zostalo na bojisku približne 50 000 padlých. Obchodníci z Londýna systematicky vytrhávali zuby mŕtvym, triedili ich do sudov a predávali zubárom. Prax pretrvala cez Krymskú vojnu až do americkej občianskej vojny.

Čítať viac

18. júna 1815 sa pri belgickej dedine Waterloo odohrala bitka, v ktorej britsko-pruské vojská porazili Napoleona. Na bojisku zostalo ležať približne 50 000 padlých vojakov — väčšinou mladých mužov so zdravým chrupom. Ich telá ležali v bahne dva dni, kým ich začali pochovávať.

Počas tých dvoch dní sa na bojisku zjavili tri skupiny ľudí: prežívajúci vojaci, miestni obyvatelia a profesionálni lúpežníci — niektorí prišli až z Londýna, vyzbrojení kliešťami. Systematicky vytrhávali predné zuby mŕtvym vojakom, triedili ich do drevených sudov a v zimných mesiacoch ich predávali zubárom na Londýnskej burze. Moláre sa z bojísk ťahali zriedkavo — boli príliš hlboko zasadené a ťažšie sa vyťahovali. Preto sa protézy skladali prevažne z predných zubov.

Zuby sa vyvarili, skrátili sa korene, zotriedili sa podľa veľkosti a namontovali sa na platne zo slonoviny alebo hrošieho kla s pružinami. Keďže zuby pochádzali od rôznych ľudí, žiadna protéza nebola z jedného chrupu — boli to vždy zmesi od rôznych darcov. Výsledné protézy sa v Londýne predávali pod prezývkou „Waterloo teeth" a zubári sa nimi chválili v inzerátoch.

Pre zákazníkov malo psychologické čaro nosiť zuby z „padlého hrdinu anglickej armády". Lepšie mať zuby od relatívne zdravého mladého muža zabitého delovou guľou alebo šabľou, než rezáky vytiahnuté z chorobou zhnitej mŕtvoly z hrobu alebo z obešenca, ktorý príliš dlho visel na šibenici. Realita bola krutejšia — zuby mohli pochádzať aj z mŕtvol z hromadných hrobov, od popravených zločincov, alebo od obetí tyfusu, ktorých mŕtvoly si zaobstarávali tzv. resurrection men (hrobári-zlodeji, vykrádajúci čerstvo pochované telá).

Jedným z obchodníkov, ktorí sa na Waterloo nachádzali, bol Claudius Ash — vojnový chirurg, ktorý zuby z bojiska následne predával a neskôr sa stal jedným z najvýznamnejších výrobcov zubných protéz v Británii.

Obchod s Waterloo teeth prežil do polovice 19. storočia. Podobné vlny zásobovania vyvolala Krymská vojna (1853 – 1856) a Americká občianska vojna (1861 – 1865) — po tej druhej americkí obchodníci vyvážali zuby padlých vojakov do Európy v sudoch po tisícoch. V Londýnskom múzeu Britskej dentálnej asociácie (BDA) si dodnes môžete pozrieť originálnu protézu zo slonoviny s „Waterloo teeth" zasadenými do platne.

Komerčný „patriotizmus" Zubári protézy inzerovali ako „Waterloo teeth" alebo „Waterloo ivory" — záruka, že zuby pochádzajú od mladých, zdravých vojakov zabitých v najlepšom veku, nie od popravených zločincov alebo starších mŕtvol vykopávaných hrobármi. Historička Rachel Bairsto z BDA Museum však upozorňuje, že samotný termín sa v dobových textoch 19. storočia takmer neobjavuje — väčšina pacientov pravdepodobne nevedela, odkiaľ zuby v ich protézach pochádzajú.
V

1850 – 1937

Vulkanit a akrylát

Charles Goodyear v roku 1839 objavil vulkanizáciu kaučuku. Prvá vulkanitová protéza prišla v roku 1854 — prvýkrát si zubné protézy mohli dovoliť aj bežní ľudia, nie iba elita. V roku 1937 sa etabloval PMMA — dodnes štandard.

Čítať viac

Bod zlomu priniesol americký vynálezca Charles Goodyear. V roku 1839 objavil vulkanizáciu kaučuku — proces, ktorým sa mäkká prírodná guma mení na tvrdý, formovateľný materiál. Jeho brat Nelson Goodyear tento materiál pomenoval Vulcanite a v roku 1851 ho patentoval. V roku 1854 vznikla prvá vulkanitová zubná protéza — kombinácia vulkanitovej bázy a porcelánových zubov.

Vulkanit zásadne zmenil ekonomiku protetiky. Bol cenovo dostupný, pružný, dal sa prispôsobiť individuálnemu tvaru čeľuste, držal pomocou vákua a vyzeral prirodzene. Prvýkrát v dejinách si zubné protézy mohli dovoliť aj bežní ľudia, nie iba bohatí.

Vulkanit dominoval takmer 75 rokov. V roku 1909 Leo Baekeland vynašiel bakelit, prvý plne syntetický plast. Bakelit priniesol ďalší pokrok, hoci mal problém s farbou a homogenitou. Definitívnym víťazom éry sa však stal materiál, ktorý dodnes dominuje protetike: polymetylmetakrylát (PMMA), uvedený do dentálnej praxe v roku 1937.

Rok 1946 Odborníci odhadovali, že 95 % všetkých nových protéz sa vyrába z PMMA. Na tejto pozícii zostal materiál viac než 80 rokov — dodnes je štandardom pre snímateľné parciálne protézy a chairside provizórne korunky.
VI

1980 — dnes

Hrudka plastu, TikTok a 120 miliónov ľudí bez zubu

V USA chýba aspoň jeden zub 120 miliónom dospelých — a 72 miliónov z nich nemá zubné poistenie. V 80. rokoch prišiel Dentemp — prvý voľnopredajný zubný cement. Po roku 2010 prišlo niečo horšie: balíčky plastových guľôčiek z čínskych e-shopov, ktoré má pacient rukou vytvarovať do tvaru zubu. Na TikToku má hashtag #DIYdentist viac než 3 milióny zhliadnutí.

Čítať viac

Dentemp je na trhu viac ako 40 rokov. Zinkoxid-eugenolový prípravok určený na dočasné prilepenie uvoľnenej korunky alebo výplne — nie na výrobu nového zubu. Dodnes je najpredávanejšia voľnopredajná dentálna pomôcka v USA. Neskôr prišli konkurenčné produkty (DenTek Temparin, založený v roku 1985) s podobným zložením. Všetky riešia rovnaký problém: niečo vypadlo, treba to prilepiť naspäť na pár dní. Žiadny z nich nevytvorí nový zub.

S nástupom globálnych e-shopov sa po roku 2010 objavila úplne nová kategória: „tooth repair kits" — balíčky termoplastických granuliek. Bezmenní čínski výrobcovia s názvami ako Formit Crafts, Sukh, SmileFix, Brige, JXE JXO, Ceonam, RAINFLOW a desiatky ďalších predávajú plastové guľôčky, ktoré sa v horúcej vode zmäknú. Pacient má materiál rukou vytvarovať do podoby zubu. Ceny sa pohybujú okolo 10–20 €. Niektoré balenia neprichádzajú ani s tlačeným návodom — inštrukcie sú zakopané v popise produktu na Amazone. Jediné, čo majú spoločné: nálepku „Made in China" a žiadne dohľadateľné informácie o výrobcovi.

Materiál nie je certifikovaný ako bezpečný pre kontakt s potravinami. Nemá certifikáciu FDA. Recenzie na Amazone popisujú výsledky, ktoré vyzerajú ako biela žuvačka nalepená na zuboch. Zubári varujú, že pod plastom sa hromadia baktérie a zvyšky jedla, čo vedie k ďasnovým ochoreniam a ďalšiemu rozpadu zubov — a v konečnom dôsledku k drahšiemu zákroku, než bol ten, ktorému sa pacient pôvodne snažil vyhnúť.

Na TikToku sa z toho stal virálny fenomén. Ľudia natáčajú videá, ako si vyrábajú zuby z InstaMorph guľôčiek, pilujú si zuby pilníkom na nechty, lepia si medzery dentálnym cementom z Amazonu alebo si robia domáce fazety z kompozitnej živice po dvojdňovom online kurze. Jedno video s návodom na výrobu zubu z plastových guľôčiek získalo 1,7 milióna zhliadnutí. Zubári reagujú vlastnými videami, kde ukazujú následky — zničenú sklovinu, recesiu ďasien, zuby popraskané od neodborného zásahu.

Prečo to ľudia robia? Odpoveď je jednoduchá: nemajú na zubára. Tretina dospelých Američanov nebola u zubára za posledný rok. 43 % uvádza ako dôvod cenu. Stovky tisíc Američanov ročne cestujú za zubným ošetrením do Mexika, Kostariky, Maďarska alebo Thajska — aj s letenkou a hotelom je to lacnejšie než ošetrenie doma. V Európe je situácia lepšia, ale aj tu sú zubné implantáty pre väčšinu ľudí finančne nedostupné — bežná cena jedného implantátu na Slovensku je 800–2 000 €.

Rok 2026 — paradox Žijeme v dobe, keď dokážeme transplantovať srdce, vytlačiť umelý orgán na 3D tlačiarni a pristáť na Marse. Ale ak vám dnes vypadne zub a nemáte tisíce eur na implantát, vaša najpredávanejšia alternatíva na Amazone je hrudka plastu za 12 €, ktorú máte prstami vytvarovať do tvaru zubu. Bez návodu, bez certifikácie, bez skutočného zubu.

Každá situácia v ústach je iná

Predný zub sa rieši inak ako stolička. Univerzálny návod pre každého neexistuje — preto diagnostika pripraví návod presne pre vás.

Spustiť diagnostiku →
Zavolajte: +421 903 890 097

PO–PIA 8:00–19:00

Obsah a vybrané odborné formulácie boli redakčne a odborne konzultované s PharmDr. Mariannou Žitňanovou (výskum a vývoj liekov, 15 rokov praxe) a Mgr. Máriou Spišákovou (klinická farmácia, vedecký výskum a vývoj, 40 rokov praxe).

AI Zistite, či je Denticor pre vás
Spustiť diagnostiku